مقدمه
کمخونی داسیشکل یکی از شایعترین اختلالات ژنتیکی خون در جهان است که میلیونها نفر را تحت تأثیر قرار میدهد و چالشهای جدی برای سیستمهای بهداشتی ایجاد میکند. این بیماری ارثی، که اغلب در مناطق گرمسیری و نیمهگرمسیری مانند آفریقا، خاورمیانه و جنوب آسیا شیوع بیشتری دارد، ناشی از جهش در ژن بتا-گلوبین است. در این مقاله، به بررسی علل، علائم، روشهای تشخیص، درمانهای نوین و استراتژیهای کنترل این بیماری میپردازیم.
کمخونی داسیشکل چیست؟
هموگلوبین، پروتئین کلیدی در گلبولهای قرمز خون، مسئولیت حمل اکسیژن را بر عهده دارد. در افراد سالم، این پروتئین به شکل HbA عمل میکند، اما در کمخونی داسیشکل، جهش نقطهای در ژن HBB منجر به تولید HbS میشود. وقتی اکسیژن کم میشود، مولکولهای HbS به هم میچسبند و فیبرهای سفتی تشکیل میدهند که گلبولها را از شکل گرد به داسمانند تغییر میدهد.
این تغییر شکل نه تنها انعطافپذیری گلبولها را کاهش میدهد، بلکه باعث چسبندگی آنها به دیواره عروق و انسداد جریان خون میشود. نتیجه؟ بحرانهای دردناک (vaso-occlusive crises)، آسیب به ارگانها مانند مغز، کلیهها و ریهها، و کمخونی مزمن به دلیل تخریب سریع گلبولها (عمر متوسط ۱۰-۲۰ روز به جای ۱۲۰ روز).
این بیماری اتوزومال مغلوب است، یعنی فرد باید دو نسخه معیوب ژن را از والدین دریافت کند. حاملان (با یک ژن معیوب) معمولاً بدون علائم هستند اما میتوانند آن را منتقل کنند.

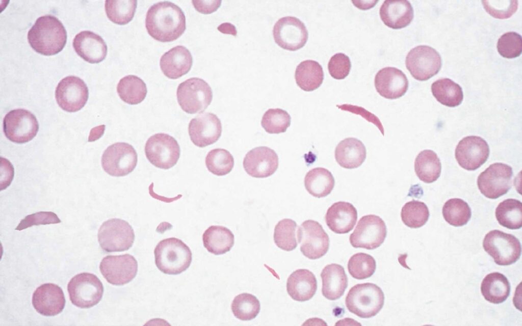
تصویر میکروسکوپی گلبولهای قرمز داسیشکل در مقایسه با گلبولهای طبیعی.
شیوع
طبق گزارش سازمان بهداشت جهانی (WHO) در سال ۲۰۲۵، حدود ۷. ۷۴ میلیون نفر در جهان با این بیماری زندگی میکنند و سالانه ۵۱۵ هزار نوزاد مبتلا متولد میشوند. بیشترین شیوع در آفریقای زیرصحرا (بیش از ۷۵ درصد موارد)، هند و خاورمیانه است. در ایالات متحده، بیش از ۱۰۰ هزار نفر مبتلا هستند، عمدتاً از نژاد آفریقایی-آمریکایی.
در ایران، شیوع حاملگی ژن HbS در جنوب کشور (مانند خوزستان و سیستان و بلوچستان) حدود ۱. ۴۳ درصد و بیماری حدود ۰. ۱ درصد است. مطالعات محلی نشان میدهد که غربالگری پیش از ازدواج میتواند شیوع را کاهش دهد. در خاورمیانه، بروز سالانه حدود ۱۶۴-۲۴۲ مورد به ازای ۱۰۰ هزار تولد گزارش شده است.
انواع کمخونی داسیشکل
شناخت انواع برای تشخیص و پیشبینی شدت بیماری ضروری است:
- HbSS: شایعترین و شدیدترین، با دو ژن HbS.
 - HbSC: یک ژن HbS و یک HbC؛ معمولاً خفیفتر با علائم کمتر.
 - HbS Beta-Thalassemia: ترکیب HbS و تالاسمی بتا؛ شدت بسته به نوع تالاسمی متغیر.
 - انواع نادر: مانند HbSD یا HbSE، که شیوع کمتری دارند.
 

علائم و نشانهها
علائم معمولاً از ۶ ماهگی شروع میشود و شدت آن متفاوت است. شایعترینها عبارتند از:
- کمخونی مزمن: خستگی، رنگپریدگی، تنگی نفس.
 - بحرانهای دردناک: درد ناگهانی در استخوانها، شکم یا سینه.
 - عفونتهای مکرر: به دلیل آسیب طحال.
 - مشکلات ارگانی: سکته مغزی، آسیب چشمی، سندرم حاد قفسه سینه، زردی، سنگ کیسه صفرا، تأخیر رشد، زخم پا و پریاپیسم در مردان.
 

روشهای تشخیص
تشخیص زودرس کلیدی است. روشها شامل:
- غربالگری نوزادان: با نمونه خون پاشنه پا؛ در بسیاری کشورها روتین است.
 - CBC و اسمیر خون: نشاندهنده کمخونی و گلبولهای داسی.
 - الکتروفورز هموگلوبین: استاندارد طلایی برای شناسایی انواع Hb.
 - آزمایش حلالیت: غربالگری سریع، اما نیاز به تأیید دارد.
 - آزمایشهای ژنتیکی: برای جهشهای دقیق، مفید در مشاوره پیش از بارداری.
 
در آزمایشگاه ژنتیک پزشکی و بوعلی قم، این روشها با دقت بالا انجام میشود.

درمانهای نوین و امیدبخش
درمانها بر کاهش علائم تمرکز دارند، اما پیشرفتهای ژنتیکی امید ایجاد کردهاند:
- هیدروکسی اوره: افزایش HbF، کاهش بحرانهای مربوطه؛ مؤثر و ارزان، اما نیاز به نظارت دارد.
 - انتقال خون: برای موارد شدید یا پیشگیری از سکته.
 - آنتیبیوتیکها و واکسنها: علیه عفونتها.
 - پیوند سلولهای بنیادی: درمانی قطعی، اما پرخطر و نیاز به اهداکننده سازگار.
 - درمانهای جدید:
 
- L-Glutamine: کاهش بحرانها.
 - ژندرمانی: Casgevy (CRISPR-based) و Lyfgenia (lentiviral) برای بیماران بالای ۱۲ سال تأیید شده؛ افزایش HbF و کاهش علائم در آزمایشات. در ۲۰۲۵، بهبود کیفیت زندگی گزارش شده، اما هزینه میلیون دلاری و ریسک سرطان محدودکننده است.
 
تصویر شماتیک ژندرمانی برای کمخونی داسیشکل.

- Etavopivat: در آزمایشات بالینی برای اختلالات خونی.
 
جدول زیر انواع روش های درمانی این بیماری را مقایسه می کند:
| درمان | مزایا | مکانیسم | محدودیت ها | 
| هیدروکسی اوره | کاهش بحرانها، ارزان | افزایش HbF | عوارض جانبی، نیاز به نظارت | 
| ژندرمانی (Casgevy) | درمانی | ویرایش ژن با CRISPR | گران، ریسک سرطان | 
| پیوند سلول بنیادی | درمانی | جایگزینی مغز استخوان | پرخطر، نیاز به اهداکننده | 
کنترل و مراقبتهای حمایتی
- مدیریت درد: مسکنها، هیدراتاسیون، گرما.
 - تغذیه: رژیم غنی از فولات و ویتامینها.
 - اجتناب از محرکها: کمآبی، استرس، سرما/گرما شدید.
 - معاینات منظم: توسط هماتولوژیست.
 - مشاوره ژنتیک: برای خانوادهها.
 - حمایت روانی: گروههای حمایتی برای کاهش استرس.
 
اهمیت غربالگری و تشخیص زودرس
غربالگری نوزادان میتواند مرگومیر را تا ۷۰ درصد کاهش دهد. در ایران، برنامههای غربالگری در مناطق پرشیوع گسترش یافته.
سوالات متداول
- آیا بیماری در بدو تولد قابل تشخیص است؟ بله، با غربالگری.
 - درمان قطعی وجود دارد؟ پیوند و ژندرمانی برای برخی.
 - عوامل تشدیدکننده چیست؟ کمآبی، استرس.
 - نقش تغذیه؟ رژیم متعادل برای حمایت از تولید خون.
 
مشاوره ژنتیک لازم است؟ بله، برای زوجهای در معرض خطر.
Reference:
http://بررسی انواع کم خونی؛ از علائم تا راه های درمان | سوپرابیون
http://با بیماری سلول های داسی شکل بیشتر آشنا شویم | مجله پل ایدهآل پارس
http://کم خونی داسی شکل | تشخیص، درمان و کنترل برای زندگی بهتر
https://www.who.int/news-room/fact-sheets/detail/sickle-cell-disease
https://frontlinegenomics.com/sickle-cell-disease-a-2024-update/
https://pmc.ncbi.nlm.nih.gov/articles/PMC11886933/
https://onlinelibrary.wiley.com/doi/10.1155/2013/803487
https://www.sciencedirect.com/science/article/pii/S2352302623001187
 